19 de noviembre de 2025
El traumatólogo Dr. Julián Alí explicó que, si bien no se han registrado casos de pacientes que hayan llegado al quirófano sin la prótesis, sí existen varios casos en los que la ortopedia no entrega los implantes por falta de pago por parte de la obra social.
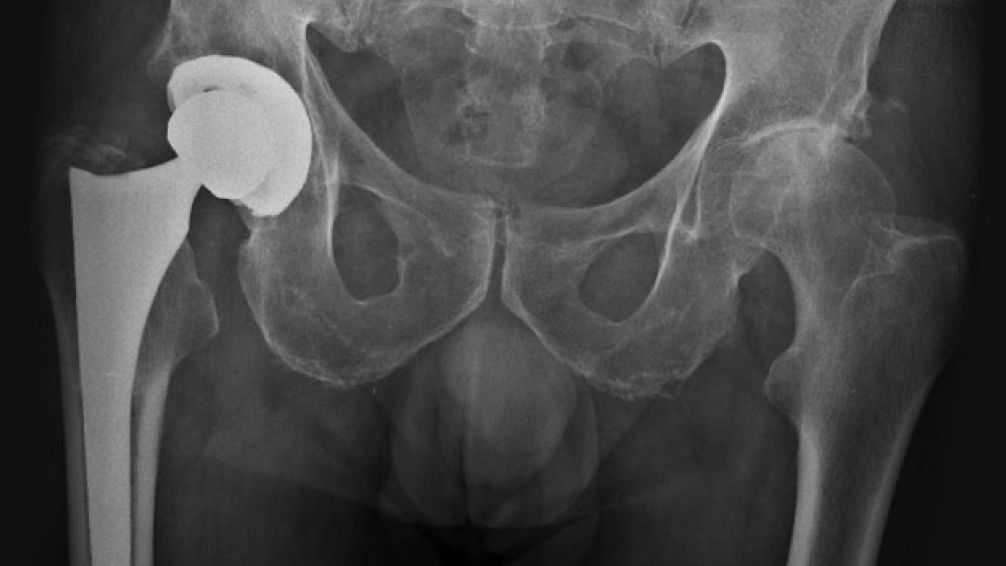
La atención médica y quirúrgica en Tandil enfrenta dificultades relacionadas con IOMA, particularmente en el área de traumatología y ortopedia. Profesionales del sector aseguran que pacientes con cirugías programadas para reemplazos de cadera se ven afectados por retrasos en la entrega de prótesis, pese a tener autorizaciones de la cirugía, internación y anestesia.
Esto afecta principalmente a prótesis de cadera, cuyo costo puede oscilar entre 3.000 y 5.000 dólares, según sean nacionales o importadas.
El médico destacó en Radio Tandil que cualquier cirugía de ortopedia requiere cuatro factores alineados: autorización de la cirugía, internación, anestesia y disponibilidad del implante. Los retrasos generan reprogramaciones constantes, estrés para los pacientes y dificultades organizativas para los equipos médicos, que deben coordinar quirófanos, anestesistas y proveedores de prótesis.
Alí también indicó que la situación no se limita a Tandil, sino que ocurre en otras ciudades como Mar del Plata, debido al mismo sistema de gerenciadoras de IOMA.
Actualmente, los pagos a la Clínica Chacabuco, anestesistas y ortopedias se encuentran regularizados, aunque persisten problemas de entrega de prótesis de alta complejidad para algunos pacientes.
Los profesionales esperan que IOMA regularice los pagos de manera inmediata, garantizando así la atención quirúrgica programada y evitando complicaciones para los pacientes que requieren reemplazos de cadera.
COMPARTE TU OPINION | DEJANOS UN COMENTARIO
Los comentarios publicados son de exclusiva responsabilidad de sus autores y las consecuencias derivadas de ellos pueden ser pasibles de sanciones legales.
19 de noviembre de 2025 - Finalizó la última fecha del Torneo Clausura de la Liga Profesional 2025 y la Liga Profesional 2025 dio a conocer a las ternas arbitrales y la programación para los cruces de octavos de final. leer mas
19/11/2025
19/11/2025
Audios Ver más audios




Datos extraidos de Casas de Hoy